|
echo $results['FAMILY']['0']; ?> |
||
|
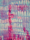
Morphology H, 5 - 10 cm Ecology mountain and subalpine meadow Chorology Central Asian Xylem More or less distinct rings, diffuse porous, vessels in radial rows, simple perforation, vessel diameter 15-20 µm, round, alternating intervessel pits, fibers absent, parenchyma pervasive, vascular bundles remaining, multi-seriate, homocellular with square and upright cells. With crystal druses. Xylem-Code Phloem Uniform phloem. A few crystal druses in the cortex. Multilayered periderm with regular arranged cells. Explanations For explanations please see the Feature Characteristics. | Cross section Tangential section Radial section Bark | |
|
© 2005 WSL - F. Schweingruber, W. Landolt, last update 18.11.2010 |
||