|
echo $results['FAMILY']['0']; ?> |
||
|
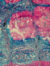
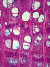
Morphology P 10-20m Ecology mediterranean Chorology E-European W-Asian Xylem Distinct rings, ring porous, often >200 µm in diameter, earlywood vessels solitary, late wood vessels often in tangential, diagonal or even dendritic simple perforations, with helical thickenings fibers thin to thick-walled, parenchyma paratracheal and marginal, ray width 4-8 cells, homocellular with prostrate cells, rays with prismatic crystals in ray cells Xylem-Code Phloem Tangential layers of small sieve cells and big, round, parenchyma cells, sclereids in large tangential rows or large groups, with a few ray dilatations, prismatic crystals in sclereids. Explanations For explanations please see the Feature Characteristics. | Cross section Tangential section Radial section Bark | |
|
© 2005 WSL - F. Schweingruber, W. Landolt, last update 18.11.2010 |
||