|
echo $results['FAMILY']['0']; ?> |
||
|
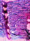
Morphology P 10-20m Ecology hill and mountain, dry Chorology S-European Xylem Distinct rings, ring porous, often >200 µm in diameter, latewood vessels in diagonal patterns, abrupt change between large erlywood and smaller latewood vessels simple, perforations, thin-walled tylosis, with vasicentric tracheids, fibers thin to thick-walled, fibers with small slit-like pits (libriform) and fibers with large round pits, parenchyma apotracheal and paratracheal, uniseriate rows of tangential parenchyma cells, rays homocellular, rays of two distinct sizes: uniseriate and >10 seriate, with a few prismatic crystals in ray cells Xylem-Code Phloem Tangential rows of sieve-tubes, parenchyma cells and sclerenchyma. Sieve tubes collapsed in older phloem, large rays sclerotised. With many prismatic crystals. Explanations For explanations please see the Feature Characteristics. | Cross section Bark | |
|
© 2005 WSL - F. Schweingruber, W. Landolt, last update 18.11.2010 |
||