|
echo $results['FAMILY']['0']; ?> |
||
|
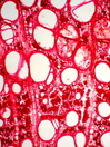
Morphology h, -300 cm Ecology hill and mountain Chorology Eurasian N-America Xylem Distinct rings, ring porous, often >200 µm in diameter, with two vessels systems: earlywood vessels solitary or in short radial multipels, latewood vessels small and in groups, simple perforations, thin-walled tylosis, intervascular pits round in alternating position of scalariform, fibers thick-walled, parenchyma paratracheal and apotracheal, ray width 3-6 cells, heterocellular with central prostrate and a few marginal square or upright cells, with prismatic crystals in axial chambers. Xylem-Code Phloem Sclereids in tangential layers with crystal druses many prismatic crystals, a few cells contain dark stained substances (laticifers ?). Explanations For explanations please see the Feature Characteristics. | Cross section Tangential section Radial section | |
|
© 2005 WSL - F. Schweingruber, W. Landolt, last update 18.11.2010 |
||