|
echo $results['FAMILY']['0']; ?> |
||
|
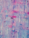
Morphology H, 40 -100cm Ecology hill and mountain Chorology European Xylem Only one ring, vessels 20-40 µm in diameter, vessels solitary and in radial multipels, simple perforations, vessels thin-walled, pits round or small in alternating position rarely scalarifom, fibers thin-walled with small pits, fibers in straight radial lines, parenchyma not to recognize, rays uniseriate, homocellular with square and upright cells, Xylem-Code Phloem Phloem with small groups of sieve tubes, enlarged chambers with raphides surrounded by mucilage. Explanations For explanations please see the Feature Characteristics. | Cross section Tangential section Radial section Bark | |
|
© 2005 WSL - F. Schweingruber, W. Landolt, last update 18.11.2010 |
||