|
echo $results['FAMILY']['0']; ?> |
||
|
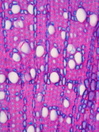
Morphology Z, 5-20 cm Ecology mediterranean Chorology S-European Xylem Distinct rings, semi-ring porous, vessels solitary vessel diameter 20-30µm vessel frequency 200-300 mm2, simple perforations, fibers mostly thick-walled, with large pits, parenchyma apotracheal and scanty paratracheal, rays 1-3-seriate, homocellular with square or upright cells Xylem-Code Phloem With small groups of sieve-tubes and sclerenchyma cells in loose radial rows. With prismatic crystal druses. Explanations For explanations please see the Feature Characteristics. | Cross section Tangential section Radial section Bark | |
|
© 2005 WSL - F. Schweingruber, W. Landolt, last update 18.11.2010 |
||