|
echo $results['FAMILY']['0']; ?> |
||
|
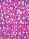
Morphology Z, 5-20 cm Ecology mediterranean Chorology S-European Xylem Distinct rings, semi-ring-porous, vessels solitary vessel diameter 20-40µm vessel frequency 300-400 mm2, simple perforations, fibers thin-to thick and thick-walled, with large pits, parenchyma apotracheal and scanty paratracheal, rays uni-seriate, homocellular with square or upright cells. Xylem-Code Phloem Sclerenchyma cells isolated. With a few crystal druses. Explanations For explanations please see the Feature Characteristics. | Cross section Bark | |
|
© 2005 WSL - F. Schweingruber, W. Landolt, last update 18.11.2010 |
||