|
echo $results['FAMILY']['0']; ?> |
||
|
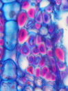
Morphology C 10-30 cm Ecology mountain and subalpine Chorology S-European mountain Xylem Distinct rings, diffuse- to semi-ring porous, vessels in diagonal groups, simple perforations, ray-vessel pits round, vessels surrounded by vasicentric tracheids, fibers thin-walled, with small pits, parenchyma apotracheal, in aggregates and terminal, rays uniseriate, homocellular with upright cells. Xylem-Code Phloem With many isolated fibers, phellem cells in regular radial rows. Explanations For explanations please see the Feature Characteristics. | Cross section Tangential section Bark | |
|
© 2005 WSL - F. Schweingruber, W. Landolt, last update 18.11.2010 |
||