|
echo $results['FAMILY']['0']; ?> |
||
|
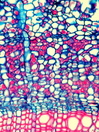
Morphology C 5-20 cm Ecology subalpine and alpine Chorology Alpine Xylem Distinct rings, diffuse-porous, vessels in radial to slightly diagonal groups, simple perforations, partially with helical thickenings, ray-vessel pits large, round, vessels surrounded by vasicentric tracheids, fibers thin-walled, with small pits, parenchyma apotracheal, in aggregates and terminal, rays uniseriate, heterocellular with 2-4 square and upright cells. Xylem-Code Phloem With many fibers in groups, fibers unlignified and do not show up in polarized light, phellem cells in regular radial rows, with slime ducts. Explanations For explanations please see the Feature Characteristics. | Cross section Tangential section Radial section Bark | |
|
© 2005 WSL - F. Schweingruber, W. Landolt, last update 18.11.2010 |
||