|
echo $results['FAMILY']['0']; ?> |
||
|
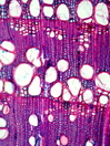
Morphology N 80-150 Ecology arid Chorology W-North America Xylem Distinct annual rings, ring porous, vessels in the latewood in radial groups and diagonal patterns, earlywood vessel diameter 120 – 150 mm, latewood vessel diameter 40-60 mm, vessel frequency 100-200 mm2, simple perforations, with helical thickenings. With vascular tracheids, fibers thin-to thick-walled, fibers with small pits, scanty and terminal paratracheal parenchyma, ray width 1-2 cells, rays heterocellular with 1-2 upright marginal cells, with prismatic crystals in ray cells, with large oil ducts in rays. Xylem-Code Phloem Tangential layers of parenchyma and sieve-tubes, with crystal druses, with oil ducts. Explanations For explanations please see the Feature Characteristics. | Cross section Tangential section Radial section Bark | |
|
© 2005 WSL - F. Schweingruber, W. Landolt, last update 18.11.2010 |
||