|
echo $results['FAMILY']['0']; ?> |
||
|
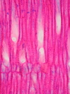
Morphology N 80-150 Ecology mediterranean Chorology SW-European Xylem Distinct rings, diffuse-porous, vessels solitary, simple perforations intervessel pits round, vessel diameter 40-60 µm, vessel frequency 150 - 250 mm2, fibers with large pits, fibers thin- to thick-walled, parenchyma apotracheal, rays uniseriate and 2-3 seriate, heterocellular with prostrate and a few upright cells. Xylem-Code Phloem Slide missing Explanations For explanations please see the Feature Characteristics. | Cross section Tangential section Radial section Bark | |
|
© 2005 WSL - F. Schweingruber, W. Landolt, last update 18.11.2010 |
||