|
echo $results['FAMILY']['0']; ?> |
||
|
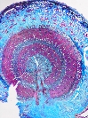
Morphology H, 20 - 40 cm Ecology hill and mountaine zone, dry site Chorology SE- European, SW- Asian Xylem Distinct rings, semi-ring porous, vessels solitary, in groups, and in short radial multiples, simple perforations, tangential bands with thick walled fibers, paratracheal parenchyma, thin walled marginal parenchyma, rayless. Xylem-Code Phloem Tangential layers of of sclerenchymatic groups, groups of sclereids in cortex. Remarks Birmensdorf, Zürich, Switzerland Explanations For explanations please see the Feature Characteristics. | Cross section Tangential section Radial section Bark | |
|
© 2005 WSL - F. Schweingruber, W. Landolt, last update 18.11.2010 |
||