|
echo $results['FAMILY']['0']; ?> |
||
|
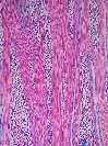
Morphology T, H, 30 - 100cm Ecology Hill and mountaine zone, medium site Chorology European, cultivated Xylem Only one ring, vessels solitary, and in short radial multiples, simple perforations, paratracheal parenchyma, ray width 3-10 cells. Xylem-Code Phloem No tangential layers of collapsed sieve cells, few of sclerenchymatic groups, distinct ray dilatations. Remarks Birmensdorf, Switzerland, cultgivated Explanations For explanations please see the Feature Characteristics. | Cross section Tangential section Radial section Bark | |
|
© 2005 WSL - F. Schweingruber, W. Landolt, last update 18.11.2010 |
||