|
echo $results['FAMILY']['0']; ?> |
||
|
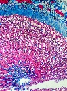
Morphology T. H, 5 - 25 cm Ecology Hill and mountaine zone. medium site Chorology S- American? subcosmopolitanean Xylem Only one ring, vessels solitary and in groups, simple perforations, paratracheal parenchyma, rayless. Xylem-Code Phloem No tangential layers of collapsed sieve cells, groups of sclereids in cortex. Remarks Cornwall, GB Explanations For explanations please see the Feature Characteristics. | Cross section Tangential section Radial section Bark | |
|
© 2005 WSL - F. Schweingruber, W. Landolt, last update 18.11.2010 |
||