|
echo $results['FAMILY']['0']; ?> |
||
|
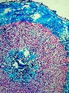
Morphology T, 5 - 30 cm Ecology Hill and mountaine zone, dry site Chorology Mediterranean Xylem Only one ring, vessels, in radial multiples, simple perforations, tparatracheal parenchyma, rayless Xylem-Code Phloem No tangential layers of collapsed sieve cells, uniform cortex Remarks Birmensdorf, Zürich, Switzerland Explanations For explanations please see the Feature Characteristics. | Cross section Tangential section Radial section Bark | |
|
© 2005 WSL - F. Schweingruber, W. Landolt, last update 18.11.2010 |
||