|
echo $results['FAMILY']['0']; ?> |
||
|
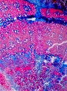
Morphology H, 30 - 100 cm Ecology Hill and mountaine zone, medium site Chorology European, N- American Xylem Indistinct rings, semi-ring porous, vessels in groups, in radial multiples, tangential rows of vessels, simple perforations, tangential bands with thick walled fibers, paratracheal parenchyma, thin walled marginal parenchyma, rayless, sometimes, few large rays. Xylem-Code Phloem Tangential layers of collapsed sieve cells, groups of sclereids in cortex. Remarks Monte Vista, Colorado, USA Explanations For explanations please see the Feature Characteristics. | Cross section Tangential section Radial section Bark | |
|
© 2005 WSL - F. Schweingruber, W. Landolt, last update 18.11.2010 |
||