|
echo $results['FAMILY']['0']; ?> |
||
|
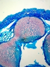
Morphology T, 10-15cm Ecology subalpine zone, medium site Chorology S-European-mountain Xylem Only one ring, vessels solitary and in radial rows, vessel diameter 15 - 20µm, apotracheal parenchyma, pervasive parenchyma, rayless. Xylem-Code Phloem Uniform structure. Bark collapsed ¿ slide from herbarium Explanations For explanations please see the Feature Characteristics. | Cross section Radial section Bark | |
|
© 2005 WSL - F. Schweingruber, W. Landolt, last update 18.11.2010 |
||