|
echo $results['FAMILY']['0']; ?> |
||
|
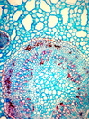
Morphology Hyd Ecology Hill and mountain zone Chorology Eurasia Xylem Rhizome: Indistinct rings, almost closed circle of vascular bundles (siphonostele) vessels solitary or in short radial multiples, scalariform inter-vessel pits simple perforations, pervasive parenchyma, rayless. The stele is surrounded by a thin-walled endodermis. Annual shoot: Similar as the rhizome but exclusively solitary vessels and thick walled star like lignified protuberances from some cortex cells. Xylem-Code Phloem Cortex with numerous vertically elongated cavities. With cortical vascular bundles. The pith is different from the cortex; cavities are missing. Explanations For explanations please see the Feature Characteristics. | Cross section Tangential section Radial section | |
|
© 2005 WSL - F. Schweingruber, W. Landolt, last update 18.11.2010 |
||