|
echo $results['FAMILY']['0']; ?> |
||
|
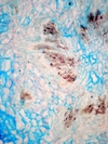
Morphology H, succulent plant, 2-8cm Ecology Subtropical, thermophile zone Chorology Canary Islands, Gomera Xylem Only one ring. vessels solitary, vessel diameter 20 ¿ 50µm, vessel frequency 100-200 mm2 reticulate vessel-pitting, Rayless. Xylem-Code Phloem Few sieve cell groups with crystal sand and few very small crystal druses. Explanations For explanations please see the Feature Characteristics. | Cross section Bark | |
|
© 2005 WSL - F. Schweingruber, W. Landolt, last update 18.11.2010 |
||