|
echo $results['FAMILY']['0']; ?> |
||
|
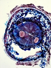
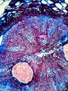
Morphology H, succulent plant, 10-20 cm Ecology subalpine and mountain zone, dry site Chorology Rocky mountains Xylem Distinct rings, semi-ring porous, vessels solitary, Vessel diameter <20mµ, vessel frequency 200-500 mm2, reticulate vessel-pitting, intra-annual tangential bands of fibers, pervasive parenchyma rayless, interxylary cork bands, crystals absent. Xylem-Code Phloem Distinct sieve cell groups parenchyma in radial rows, crystals absent. Explanations For explanations please see the Feature Characteristics. | Cross section Tangential section Radial section Bark | |
|
© 2005 WSL - F. Schweingruber, W. Landolt, last update 18.11.2010 |
||