|
echo $results['FAMILY']['0']; ?> |
||
|
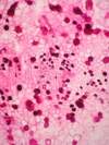
Morphology Ch, succulent plant, 20-40 cm Ecology Hill and mountain zone, dry site Chorology European Xylem Structure of the bulb. Indistinct rings, , vessels in groups between parenchyma zones.Vessel diameter <20mµ, vessel frequency 100-200 mm2, vessel frequency 200-500 mm2 in zones with vessels, reticulate vessel-pitting, fibers missing, pervasive parenchyma, very large rays (= bulb parenchyma between vascujlar bundles), crystals absent. Xylem-Code Phloem Uniform anatomy, crystals absent. Explanations For explanations please see the Feature Characteristics. | Cross section | |
|
© 2005 WSL - F. Schweingruber, W. Landolt, last update 18.11.2010 |
||