|
echo $results['FAMILY']['0']; ?> |
||
|
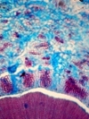
Morphology H, succulent plant, 10-20cm Ecology H, succulent plant, 10-20cm Chorology SE-European, mountaine Xylem Indistinct rings, solitary vessels in the first part of the ring, vessels absent in the second part = intra-annual tangential bands of fibers, pervasive parenchyma in the first part of the ring, first part of the ring with very large rays, later part rayless, few small crystals druses. Xylem-Code Phloem Distinct sieve cell groups parenchyma in radial rows, with crystal sand Explanations For explanations please see the Feature Characteristics. | Cross section Tangential section Radial section Bark | |
|
© 2005 WSL - F. Schweingruber, W. Landolt, last update 18.11.2010 |
||