|
echo $results['FAMILY']['0']; ?> |
||
|
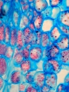
Morphology H, succulent plant, 5-15 cm Ecology subalpine and mountain zone, dry site Chorology S-European, mountain Xylem Indistinct rings, vessels solitary, Vessel diameter <20mµ, vessel frequency 100-200 mm2, reticulate vessel-pitting, fibers missing, pervasive parenchyma, Rayless Xylem-Code Phloem Distinct sieve cell groups, parenchyma in radial rows, with small crystal druses. Explanations For explanations please see the Feature Characteristics. | Cross section Tangential section Radial section Bark | |
|
© 2005 WSL - F. Schweingruber, W. Landolt, last update 18.11.2010 |
||