|
echo $results['FAMILY']['0']; ?> |
||
|
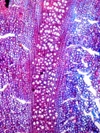
Morphology H, 10-20cm Ecology subalpine, alpine, dry site Chorology subalpine, alpine, dry site Xylem Distinct rings, semi-ring porous, vessels solitary and in small clusters, vessel diameter <25-30mµ, scalariform perforations with 1-3 bars, vessel frequency 200-500 mm2, scalariform vessel-pitting, fibers with smallround pits (fiber tracheids), parenchyma mostly paratracheal or pervasive, rays very large and confluent to the vessel/bire strips, the vessel/fibere tissue remains as small radial strips. Crystal druses in the rays, absent in the vessel/fiber strips. Xylem-Code Phloem Uniform phloem and cortex. Circle of cells with dark substances. Phloem, cortex and pith with many crystal druses. Explanations For explanations please see the Feature Characteristics. | Cross section Tangential section Radial section Bark | |
|
© 2005 WSL - F. Schweingruber, W. Landolt, last update 18.11.2010 |
||