|
echo $results['FAMILY']['0']; ?> |
||
|
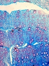
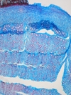
Morphology H,Ch, 20-60cm Ecology Mountain ¿alpine Chorology W-Alps Xylem Distinct rings, diffuse porous, vessels solitary, vessel diameter <20mµ, fibers absent, vessel frequency 200-500 mm2, reticulate vessel-pitting, ring shake, fibers missing, pervasive parenchyma, rayless, crystals absent. Xylem-Code Phloem Uniform phloem and cortex Explanations For explanations please see the Feature Characteristics. | Cross section Tangential section Radial section | |
|
© 2005 WSL - F. Schweingruber, W. Landolt, last update 18.11.2010 |
||