|
echo $results['FAMILY']['0']; ?> |
||
|
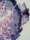
Morphology H, 10-20cm Ecology Hill zone, normal site Chorology Northern Rocky Mountains Xylem Distinct rings, semi-ring porous, vessels solitary and in short radial multipels vessel diameter <20mµ, scalariform perforations with 5-15 bars, fibers with small round pits, vessel frequency 200-500 mm2, reticulate vessel-pitting, fibers with small round pits (fiber tracheids), marginal parenchyma, rayless and pith zones between vascular bundles, crystals druses in the pith zones. Xylem-Code Phloem Uniform phloem and cortex. Pith with crystal druses. Explanations For explanations please see the Feature Characteristics. | Cross section Radial section Bark | |
|
© 2005 WSL - F. Schweingruber, W. Landolt, last update 18.11.2010 |
||