|
echo $results['FAMILY']['0']; ?> |
||
|
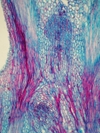
Morphology H, 15-30m Ecology Hill zone Chorology Northern Rocky Mountains Xylem Distinct rings, diffuse porous, vessels solitary vessel diameter <15-25mµ, scalariform perforations with 5-15 bars, fibers with small round pits (fiber tracheids), vessel frequency 200-500 mm2, paratracheal parenchyma absent of not to recognize, rayless. Xylem-Code Phloem Distinct rings, diffuse porous, vessels solitary vessel diameter <15-25mµ, scalariform perforations with 5-15 bars, fibers with small round pits (fiber tracheids), vessel frequency 200-500 mm2, paratracheal parenchyma absent of not to recognize, rayless. Explanations For explanations please see the Feature Characteristics. | Cross section Tangential section Radial section Bark | |
|
© 2005 WSL - F. Schweingruber, W. Landolt, last update 18.11.2010 |
||