|
echo $results['FAMILY']['0']; ?> |
||
|
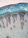
Morphology H, 20-50cm Ecology mountain and alpine, normal site Xylem Annual stem. Only one ring. Radial oriented xylem of vascular bundles in the parenchymatic pith zone and inside of a closed zone of xylem. Explanations For explanations please see the Feature Characteristics. | Cross section | |
|
© 2005 WSL - F. Schweingruber, W. Landolt, last update 18.11.2010 |
||