|
echo $results['FAMILY']['0']; ?> |
||
|
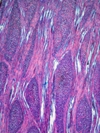
Morphology P, 1-1,5m Ecology Hill zone Chorology W North America, Siberia Xylem Distinct rings, diffuse porous, semi-ring porous, vessels solitary and in groups, scalariform perforations, partial scalariform intervessel pits intervessel pits opposite, with septate fibers, parenchyma difficult to recognize, ray width uni-to multiseriate, heterocellular. Phloem Tangential layers of collapsed sieve cells, tangential bands of crystal druses. Explanations For explanations please see the Feature Characteristics. | Cross section Tangential section Radial section Bark | |
|
© 2005 WSL - F. Schweingruber, W. Landolt, last update 18.11.2010 |
||