|
echo $results['FAMILY']['0']; ?> |
||
|
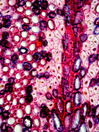
Morphology Z, parasite on Proustia cuneifolia, 30-50cm Ecology mountain zone, dry site Chorology Central Andes, Argentina Xylem Distinct rings (polarized light), diffuse porous, vessels in long radial rows, simple perforation, vessel diameter in earlywood <20µm, fiber pits minutely bordered, fibers thick-walled, apotracheal, ray width 1-8, all ray cells upright, thick-walled ray cells, Keilwuchs Xylem-Code Phloem With sieve cell groups above the vessel/fiber strips. Old sieve cells collapsed, groups of sclereids in cortex. Prismatic crystals present. Explanations For explanations please see the Feature Characteristics. | Cross section Tangential section Radial section Bark | |
|
© 2005 WSL - F. Schweingruber, W. Landolt, last update 18.11.2010 |
||