|
echo $results['FAMILY']['0']; ?> |
||
|
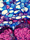
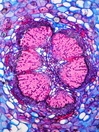
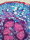
Morphology Z, parasite, on Juniperus sp. 5-10 cm Ecology Pinyon, mountain zone dry site Chorology SW-North- America Xylem Indistinct rings, vessels in groups (look like fibers), vessels thick-walled, simple perforation, opposite vessel pitting, vessel diameter in earlywood <20µm. Some fibers in the cortex- cambial variant? Fibers probably absent, paratracheal parenchyma (looks like apotracheal), parenchyma cells with nuclei, ray width 1-3, all ray cells upright, rays between initial vascular bundles, rays often confluent to axial parenchyma, thin-walled ray cells, crystals absent. Xylem-Code Phloem With sieve cell groups above the vessel/fiber strips. Old sieve cells not collapsed, groups of sclereids in cortex. Crystals in druses. Some fibers in the cortex- cambial variant? Explanations For explanations please see the Feature Characteristics. | Cross section Tangential section Radial section Bark | |
|
© 2005 WSL - F. Schweingruber, W. Landolt, last update 18.11.2010 |
||