|
echo $results['FAMILY']['0']; ?> |
||
|
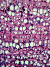
Morphology H, 10-20cm Ecology mountain zone, dry site Chorology Western North America Xylem Distinct rings, semi-ring porous, vessels solitary and in small groups, vessel diameter 20 ¿ 50µm, vessel frequency 200-500 mm2, simple perforations, gash-like vessel- pits fibers thin to thick-walled apotracheal and marginal parenchyma, rayless Xylem-Code Phloem Uniform phloem and cortex, with silica bodies. Explanations For explanations please see the Feature Characteristics. | Cross section Tangential section Radial section Bark | |
|
© 2005 WSL - F. Schweingruber, W. Landolt, last update 18.11.2010 |
||