|
echo $results['FAMILY']['0']; ?> |
||
|
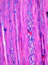
Morphology C, 50-80cm Ecology hill zone, coast Chorology Western North America Xylem Distinct rings, diffuse porous, vessels solitary, and in short radial multiples, vessel diameter 20 ¿ 50µm, vessel frequency 100-200 mm2, simple perforations, fibers thin to thick-walled, paratracheal parenchyma, ray width 4->10 cells, rays with exclusively procumbent ray cells, exclusively square and upright ray cells, without crystals Xylem-Code Phloem Groups of sieve cells, groups of sclereids in phloem and cortex. Without crystal druses, Explanations For explanations please see the Feature Characteristics. | Cross section Tangential section Radial section Bark | |
|
© 2005 WSL - F. Schweingruber, W. Landolt, last update 18.11.2010 |
||