|
echo $results['FAMILY']['0']; ?> |
||
|
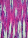
Morphology T, 20-80cm Ecology hill and mountain zone, medium site Chorology Eurasian Xylem Only one ring, in long radial multiples, vessel diameter 30 ¿ 60µm, vessel frequency vessel frequency 200-500 mm2, simple perforations, fibers thin-walled, paratracheal parenchyma, ray width 1-2 cells, all cells square or upright. Xylem-Code Phloem Distinct ray dilatations, groups of sclereids in phloem and cortex. With crystal druses, Explanations For explanations please see the Feature Characteristics. | Cross section Radial section Bark | |
|
© 2005 WSL - F. Schweingruber, W. Landolt, last update 18.11.2010 |
||