|
echo $results['FAMILY']['0']; ?> |
||
|
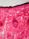
Morphology G, 5-20cm Ecology subalpine, alpine, medium site Chorology Arctic-Alpine Xylem Bulb. Indistinct rings, diffuse porous, vessels solitary, vessel diameter <20mµ, vessel frequency 200-500 mm2, simple perforations, fibers thin- walled, paratracheal parenchyma, ray width 5->10 cells, exclusively square and upright ray cells, siphonostele with single vascular bundles, with crystal druses in the rays Xylem-Code Phloem Radial rows of parenchyma cells, with small groups of sieve cells, distinct ray dilatations, With crystal druses. Explanations For explanations please see the Feature Characteristics. | Cross section | |
|
© 2005 WSL - F. Schweingruber, W. Landolt, last update 18.11.2010 |
||