|
echo $results['FAMILY']['0']; ?> |
||
|
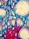
Morphology T, 15 - 50 cm Ecology mediterranean Chorology cosmopolitean Xylem Indistinct rings, vessels solitary, vessel diameter 30-50 mµ, simple perforations, intervascular pits round, fibers in little clusters at the zentripetal side of the vascular bundles, paratracheal and pervasive parenchyma, rays 5-8 cells, included phloem concentric with single vascular bundles, conjunctive tissue thin-walled, with crystal sand. Xylem-Code Phloem Uniform anatomy without sieve elements, with crystal sand. Explanations For explanations please see the Feature Characteristics. | Cross section Tangential section Bark | |
|
© 2005 WSL - F. Schweingruber, W. Landolt, last update 18.11.2010 |
||