|
echo $results['FAMILY']['0']; ?> |
||
|
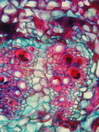
Morphology C, 20-40cm Ecology desert, dry site Chorology Mongoean Xylem Indistinct rings, vessels solitary, vessel diameter 30-50 mµ, vessel cell wall thick walled, simple perforations, intervascular pits round, fibers thick walled, paratracheal parenchyma, rays 5-8 cells, included phloem concentric with single vascular bundles, conjunctive tissue thin-walled, with crystal sand. Xylem-Code Phloem Uniform anatomy without sieve elements, with crystal sand. Explanations For explanations please see the Feature Characteristics. | Cross section Bark | |
|
© 2005 WSL - F. Schweingruber, W. Landolt, last update 18.11.2010 |
||