Morphology

Dwarf shrub, 40-60cm

Ecology

subtropicalalalal zone, montane, dry site

Chorology

Macaronesian

Xylem

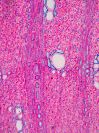
Distinct rings, diffuse porous, vessels solitary and in short radial multiples, no vestured pits, thick walled fibers, paratracheal parenchyma, marginal parenchyma, ray-width 4-8 cells.

Xylem-Code

See annex

Phloem

No tangential layers of collapsed sieve cells, radial rows of parenchyma cells, small groups of sclereids in primary bark.

Remarks

Cross section:
Tangential section:
Radial section:
Bark:

Gran Canaria, Canary Islands, Spain

Explanations

For explanations please see the Feature Characteristics.

Cross section
    
Tangential section
 
Radial section
 

© 2005 WSL - F. Schweingruber, W. Landolt, last update 18.11.2010