|
echo $results['FAMILY']['0']; ?> |
||
|
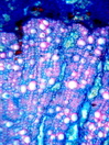
Morphology C, 20-40cm Ecology hill zone, dry site Chorology Mediterranean Xylem Indistinct rings, vessels mainly solitary, thick walled, vessel diameter 15-20 mµ, simple perforations, intervascular pits round, fibers thick-walled, paratracheal parenchyma, rays width 5-7 cells, included phloem concentric, with vascular bundles conjunctive tissue unlignified and thin-walled, with crystal sand. Xylem-Code Phloem Uniform anatomy without sieve elements, with groups of sclereids, with crystal sand. Explanations For explanations please see the Feature Characteristics. | Cross section | |
|
© 2005 WSL - F. Schweingruber, W. Landolt, last update 18.11.2010 |
||