|
echo $results['FAMILY']['0']; ?> |
||
|
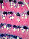
Morphology dwarf shrub 40cm Ecology mediterranean dry site Chorology Macaronesia, mediterranean Xylem Indistinct rings, vessels mainly in groups, vessel diameter 40-50 mµ, vessels thick-walled, simple perforations, intervascular pits round, fibers thick-walled, paratracheal parenchyma, rayless, included phloem concentric, continuous, with isodiametric crystals. Xylem-Code Phloem Uniform anatomy without sieve elements, without crystals Explanations For explanations please see the Feature Characteristics. | Cross section Radial section Bark | |
|
© 2005 WSL - F. Schweingruber, W. Landolt, last update 18.11.2010 |
||