|
echo $results['FAMILY']['0']; ?> |
||
|
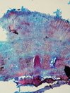
Morphology H, 20-40 cm Ecology Mountain and subalpine, medium site Chorology Eurasian, N-American Xylem Rings indistinct, vessels solitary and in groups, vessel diameter 15-30 µm, vessels with simple perforations and small scalariform pits, fibers absent or living fibers , parenchyma pervasive, vascular bundles rayless, very large rays (extrusions from the pith) between the bundles, ray cells exclusively square and upright. Xylem-Code Phloem Groups of tangentially arranged sieve cells in a thin walled parenchymatic tissue. Explanations For explanations please see the Feature Characteristics. | Cross section Radial section | |
|
© 2005 WSL - F. Schweingruber, W. Landolt, last update 18.11.2010 |
||