|
echo $results['FAMILY']['0']; ?> |
||
|
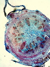
Morphology H, 10-20cm Ecology subalpine, alpine, medium site Chorology Rocky mountains Xylem Distinct rings, remaining vascular bundles, semi-ring porous, vessels in groups, vessels thick walled with round to slit-like intervessel pits, vessel diameter 30-40 µm, simple perforations, fibers absent, parenchyma pervasive, rays absent inside vascular bundles, between them very large rays with thin-walled, unlignified cell walls. Xylem-Code Phloem With sieve-cell groups, mostly in tangential rows. Explanations For explanations please see the Feature Characteristics. | Cross section Radial section Bark | |
|
© 2005 WSL - F. Schweingruber, W. Landolt, last update 18.11.2010 |
||