|
echo $results['FAMILY']['0']; ?> |
||
|
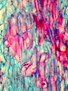
Morphology H, 20-60cm Ecology Mountain and subalpine, wet site Chorology S-European, Mountain Xylem Secondary growth absent. Single vascular closed bundles arranged around the pith. Bundles near the annual shoot are surrounded by a mantle of thick walled sclerenchyma cells. Vessels in groups, vessel diameter <20 µm, perforations simple, intervessel pits round to mostly slit-like or scalariform, fibers absent, parenchyma pervasive, rays absent inside vascular bundles, between them very large rays with thin-walled, unlignified cell walls. Xylem-Code Phloem Mostly uniform, sometimes with a few smaller sieve-cells Explanations For explanations please see the Feature Characteristics. | Cross section Radial section Bark | |
|
© 2005 WSL - F. Schweingruber, W. Landolt, last update 18.11.2010 |
||