|
echo $results['FAMILY']['0']; ?> |
||
|
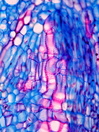
Morphology H, 10-20cm Ecology hill and mountain zone, wet site Chorology Eurasian Xylem Secondary growth absent. Single vascular closed bundles arranged around the pith. Bundles at the internal and external sinde wis groups of thick walled sclerenchyma cells. Vessels in groups, vessel diameter <20 µm, perforations simple, intervessel pits round to slit-like, fibers absent, parenchyma pervasive, rays absent inside vascular bundles, between them very large rays with thin-walled, unlignified cell walls. Xylem-Code Phloem Mostly uniform, sometimes with a few smaller sieve-cells. Cortex in the above ground part of the stem with aerenchyma. Explanations For explanations please see the Feature Characteristics. | Cross section Radial section Bark | |
|
© 2005 WSL - F. Schweingruber, W. Landolt, last update 18.11.2010 |
||