|
echo $results['FAMILY']['0']; ?> |
||
|
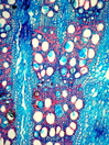
Morphology H, 30 - 50cm Ecology tropical rain forest Chorology S-European Xylem Distinct rings, ring porous and semi-ring porous, vessels solitary, vessel diameter 50-130mµ, vessels thick walled (3mµ), simple perforation, round intervessel pitting, with tylosis, fibers thin to thick-walled or thick-walled, fibers with round bordered pits, Parenchyma apotracheal, paratracheal and pervasive, sometimes marginal, vascular bundle form remaining, rays very large, unlignified with square cells. Crystals absent. Xylem-Code Phloem Phloem with small sieve cells and large parenchyma cells. Distinct ray dilations. Cortex with few fragments of an earlier sclerenchymatic belt. . Explanations For explanations please see the Feature Characteristics. | Cross section Tangential section Radial section Bark | |
|
© 2005 WSL - F. Schweingruber, W. Landolt, last update 18.11.2010 |
||