|
echo $results['FAMILY']['0']; ?> |
||
|
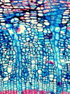
Morphology tree up to 6m Ecology subtropical, mountain zone Chorology Canary Islands Xylem Distinct rings, ring boundary expressed by radial flat fibers, diffuse porous, vessels solitary, and in short radial groups, vessel diameter 80 ¿ 130 µm, vessel frequency 80-100 mm2, vessels with simple perforations, large intervessel pits in alternate position, ray-vessel pits reticulate, fibers with small pits, many septate fibers, parenchyma diffuse, rays 2-4 seriate, heterocellular with 1-2 upright cells, marginal cell often very big. Xylem-Code Phloem With ray dilatations, single fibers in the phloem and groups of sclereids in the cortex, with crystal sand in parenchyma cells. Explanations For explanations please see the Feature Characteristics. | Cross section Tangential section Radial section Bark | |
|
© 2005 WSL - F. Schweingruber, W. Landolt, last update 18.11.2010 |
||